高龄半全口缺牙老人种牙告别“缺1种1”:10颗种植体恢复全口牙 底价进口种植体2980元/颗,半全口种牙半价补贴,电话:020-8988 8807 2018年11月30日  

  文/记者 丁香

  “种植牙是不是要缺一颗种一颗?那我缺了大半口牙,岂不是要种十几颗?”这是很多半口、全口缺牙老人的疑惑。事实上,现在广州市某医保定点口腔机构专项研发的“ALL-ON-N桥式种植技术”已经能够实现4-6颗植体恢复半口牙、8-12颗植体恢复全口牙,同时也累积了诸多成功案例。为进一步推广桥式技术,惠及更多羊城缺牙老人,该医保定点机构特举办“高龄多颗种牙”专项特诊,同时报名特诊可享受底价进口种植体2980元/颗,半口、全口种牙半价补贴等优惠,报名电话:020-8988 8807。

  71岁吴叔:12颗种植体恢复全口牙

  口腔情况:全口牙缺失 种植方案:ALL-ON-N种植、即拔即种

  吴叔心得:“我全口牙基本掉光,种牙前以为要缺一颗种一颗,一直没敢种,医生给我介绍了‘ALL-ON-N’种植技术,能够少量植体恢复多颗牙,拔除牙齿残根后,种了12颗植体就恢复了整口牙,费用省了一大半,牙齿牢固好用,现在想吃什么就吃什么!”

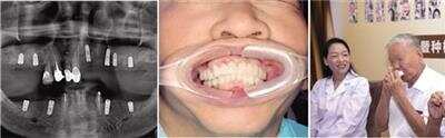
  80岁刘叔:微创无痛种10颗重建全口牙

  口腔情况:全口牙缺失 种植方案:微创无痛种植、ALL-ON-N种植

  刘叔心得:“我毕竟已经80岁了,种牙最担心会痛,身体能不能承受。经过医生讲解微创技术和搭桥技术,采用减少植体的种牙方案,只种10颗植体就恢复了全口牙,种牙原来真的不痛,术后还没吃止痛药,这是之前完全没想到的!”

  》》 特别链接

  ALL-ON-N 桥式种植技术话你知

  “All-ON-N”种植技术是基于口腔CBCT+3D种植导板技术,在牙槽骨质量较高区域植入种植体,通过搭桥连冠方式恢复多颗牙,其最大特点就是只需少量种植体恢复多颗牙,如4-6颗恢复半口牙、8-12颗恢复全口牙,费用可节省大半,此外由于种植颗数少,因此创伤更小、恢复更快,经济安全。